Tel: 858.663.9055
Email: info@nsjbio.com
Tel: 858.663.9055
Email: info@nsjbio.com
My Cart (0)
Antibodies
Protocols
About Us
Distributors
Contact Us
Order
Toggle navigation
Menu
Antibodies
Protocols
About Us
Distributors
Contact Us
Order
Search results for
DHX58
There are no search results with an exact match of
DHX58
. Related results are displayed below.
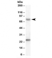
DHX58 Antibody / DExH-box helicase 58
Catalog No
:
FY12647
Applications
:
WB, ELISA
Reactivity
:
Human, Mouse, Rat
Pred. Reactivity
:
Format
:
Lyophilized
RRID
:
Powered by Bioz
‹
›
LGP2 Antibody / DHX58
Catalog No
:
R33441
Applications
:
WB, ELISA (peptide)
Reactivity
:
Human
Pred. Reactivity
:
Format
:
Antigen affinity purified
RRID
:
Powered by Bioz
‹
›