• Tel: 858.663.9055
  • separatorEmail: info@nsjbio.com
  • Tel: 858.663.9055
  • Email: info@nsjbio.com
banner

Melanoma Marker Antibody / Melanoma Marker Antibodies

Home >> Antibodies >> Melanoma Marker Antibody / Melanoma Marker Antibodies

Melanoma Marker Antibody / Melanoma Marker Antibodies

Melanoma Marker Antibody Overview

Melanoma Marker Antibody detects proteins expressed in melanoma, a malignant tumor derived from melanocytes. Melanoma is the deadliest form of skin cancer, with incidence rates continuing to rise worldwide. Although early-stage melanoma can often be treated successfully, advanced cases are challenging due to metastasis and therapy resistance. Accurate identification of melanoma cells is critical for diagnosis, prognosis, and treatment development, and Melanoma Marker Antibodies provide essential tools for these purposes.

Common targets for Melanoma Marker Antibodies include S100 proteins, HMB-45 (gp100), MART-1 (Melan-A), tyrosinase, SOX10, and MITF. S100 and SOX10 are sensitive markers used to detect melanocytic lineage, while HMB-45 and MART-1 provide high specificity. Tyrosinase and MITF indicate pigment biosynthesis and transcriptional regulation. The Melanoma Marker Antibody enables researchers and clinicians to distinguish melanoma from other tumors, evaluate tumor progression, and study melanoma biology at the molecular level.


Why Choose Melanoma Marker Antibodies from NSJ Bioreagents?

NSJ Bioreagents provides Melanoma Marker Antibodies validated for immunohistochemistry, western blotting, immunofluorescence, and ELISA. Each Melanoma Marker Antibody undergoes rigorous quality testing to confirm specificity for melanoma-associated proteins, minimizing cross-reactivity with non-melanocytic tissues.

By choosing a Melanoma Marker Antibody from NSJ Bioreagents, researchers gain reagents optimized for reproducibility and diagnostic clarity. Our antibodies deliver strong, reliable staining in tissue biopsies, sharp detection in protein lysates, and consistent performance in translational assays. With detailed datasheets, positive control recommendations, and optimized protocols, NSJ Bioreagents ensures that Melanoma Marker Antibodies support robust, reproducible results in both basic and applied research.


Applications of Melanoma Marker Antibodies

The Melanoma Marker Antibody has broad applications in oncology, pathology, and translational research.

1) Cancer Diagnostics and Pathology

  • Melanoma Marker Antibodies are used in pathology labs to confirm melanocytic origin of tumors.

  • The Melanoma Marker Antibody distinguishes melanoma from non-melanocytic cancers such as sarcoma or carcinoma.

  • Clinicians use Melanoma Marker Antibodies to evaluate surgical margins and confirm metastasis.

2) Tumor Biology and Progression

  • The Melanoma Marker Antibody supports studies of melanoma initiation and progression.

  • Melanoma Marker Antibodies identify proteins linked to invasion, angiogenesis, and metastasis.

  • Researchers use the Melanoma Marker Antibody to clarify transcriptional programs driving melanoma heterogeneity.

3) Immuno-Oncology and Therapy Development

  • The Melanoma Marker Antibody is applied in studies of tumor–immune interactions.

  • Melanoma Marker Antibodies help evaluate checkpoint pathways such as PD-1/PD-L1 in melanoma tissue.

  • The Melanoma Marker Antibody supports development of therapeutic vaccines and adoptive T cell therapies.

4) Metastasis and Tumor Microenvironment

  • Melanoma Marker Antibodies detect circulating tumor cells and micrometastases.

  • The Melanoma Marker Antibody helps clarify how melanoma cells interact with fibroblasts, endothelial cells, and immune infiltrates.

  • Researchers use Melanoma Marker Antibodies to assess markers predictive of metastatic potential.

5) Molecular Research and Biomarker Discovery

  • The Melanoma Marker Antibody supports identification of biomarkers for prognosis and treatment response.

  • Melanoma Marker Antibodies are used to measure protein expression in patient-derived xenografts.

  • The Melanoma Marker Antibody validates genomic discoveries at the protein level.

6) Translational and Clinical Research

  • Melanoma Marker Antibodies are applied in clinical trials to stratify patients and monitor therapy response.

  • The Melanoma Marker Antibody supports precision medicine by linking marker expression to therapeutic efficacy.

  • Melanoma Marker Antibodies contribute to validation of imaging biomarkers for melanoma detection.


Why Are Melanoma Marker Antibodies Important?

Melanoma is a complex, aggressive cancer that requires accurate detection and tailored therapy. The Melanoma Marker Antibody provides a reliable tool for identifying melanoma-associated proteins, while Melanoma Marker Antibodies more broadly support advances in diagnostics, prognostics, and therapeutics.

In clinical pathology, Melanoma Marker Antibodies enable accurate diagnosis and staging. In oncology research, the Melanoma Marker Antibody clarifies molecular pathways of tumor initiation, immune evasion, and therapy resistance. In immunotherapy, Melanoma Marker Antibodies help evaluate biomarkers that predict patient response.

Because melanoma remains a major cause of cancer-related mortality, tools that improve understanding and management are vital. The Melanoma Marker Antibody connects molecular discovery with clinical application, advancing precision medicine approaches in melanoma care.


Conclusion

Melanoma research demands accurate markers for diagnosis, prognosis, and therapy development. The Melanoma Marker Antibody equips researchers and clinicians with tools to detect melanoma-associated proteins, while Melanoma Marker Antibodies more broadly drive progress in cancer biology, immuno-oncology, and translational research. By linking molecular insights with patient outcomes, these antibodies remain essential for advancing melanoma research and improving clinical care.

 

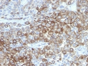
<p>IHC staining of human melanoma tissue with <a href="../tds/melanoma-antibody-gp100-pmel17-nki-beteb-v2254" target="_blank" rel="noopener">PMEL17 antibody</a> (clone NKI-beteb).</p>

IHC staining of human melanoma tissue with PMEL17 antibody (clone NKI-beteb).

Found all antibodies, displaying 11 to 20
Melanoma Antibody / PNL2 (clone PNL2)
Catalog No : V3071
Applications : IF, IHC-P
Reactivity : Human
Format : Purified
Melanoma Associated Antigen KBA.62 Antibody (clone KBA.62)
Catalog No : V3072
Applications : IF, IHC-P
Reactivity : Human
Format : Purified
PMEL17 / Melanoma gp100 Antibody (clone SPM142)
Catalog No : V9078
Applications : IHC-P, WB
Reactivity : Human
Format : Purified
PMEL17 / Melanoma gp100 Antibody (clone SPM286)
Catalog No : V9079
Applications : IHC-P
Reactivity : Human
Format : Purified
MART-1 / Melan-A Antibody (clone SPM342)
Catalog No : V9017
Applications : IHC-P
Reactivity : Human
Format : Purified
MART-1 / Melan-A Antibody (clone SPM540)
Catalog No : V9018
Applications : IHC-P
Reactivity : Human
Format : Purified
MART-1 / Melan-A Antibody (clone SPM555)
Catalog No : V9125
Applications : IHC-P, WB
Reactivity : Human
Format : Purified
MART-1 / Melan-A Antibody Cocktail (clone M2-7C10 + M2-9E3)
Catalog No : V3156
Applications : FACS, IF, WB, IHC-P
Reactivity : Human, Mouse, Rat
Format : Purified
Melanoma Cell Marker Antibody Cocktail (anti-MART-1 + gp100 + Tyrosinase) (clone M2-7C10 + M2-9E3 + HMB45 + T311)
Catalog No : V3157
Applications : IHC-P, WB
Reactivity : Human
Format : Purified
TRP1 / Tyrosinase-Related Protein-1 Antibody (clone TA99)
Catalog No : V3174
Applications : FACS, IF
Reactivity : Human, Mouse
Format : Purified