• Tel: 858.663.9055
  • separatorEmail: info@nsjbio.com
  • Tel: 858.663.9055
  • Email: info@nsjbio.com
banner

Cancer Antibodies

Home >> Antibodies >> Cancer Antibodies

Cancer Antibodies

Cancer Antibodies Overview

Cancer Antibodies form a critical category of reagents for studying the molecular basis of malignancies. Cancer is a highly heterogeneous disease involving dysregulated signaling pathways, uncontrolled proliferation, angiogenesis, immune evasion, and metastasis. Antibodies provide powerful tools to detect biomarkers associated with these processes, helping researchers uncover mechanisms of tumor biology, classify malignancies, and test new therapeutic strategies.

Targets for Cancer Antibodies range from cell surface proteins such as EGFR, HER2, and CD44 to intracellular markers like Ki-67, p53, and BCL-2. These antibodies are widely used in diagnostic pathology, research into drug resistance, immuno-oncology, and biomarker discovery. Because cancer research spans multiple disciplines, the Cancer Antibodies portfolio has broad applications across basic, translational, and clinical studies.


Why Choose Cancer Antibodies from NSJ Bioreagents?

NSJ Bioreagents offers Cancer Antibodies validated for immunohistochemistry, western blotting, flow cytometry, immunofluorescence, and ELISA. Each Cancer Antibody undergoes rigorous quality control to ensure high specificity, reproducibility, and compatibility across standard laboratory workflows.

By selecting Cancer Antibodies from NSJ Bioreagents, scientists gain reagents optimized for sensitivity and consistency. Our antibodies provide strong detection in tumor biopsies and cultured cancer cell lines, reproducible quantification in protein lysates, and robust performance across preclinical and translational applications. Detailed datasheets, validated controls, and optimized protocols ensure reproducibility in oncology and biomedical research.


Applications of Cancer Antibodies

The Cancer Antibodies collection supports a broad spectrum of applications in cancer biology and translational research.

1) Diagnostic Pathology

  • Cancer Antibodies confirm tumor origin in biopsy material.

  • The Cancer Antibodies support immunohistochemical panels for accurate tumor classification.

  • Antibodies clarify diagnostic markers in carcinomas, lymphomas, and sarcomas.

2) Prognostic Biomarkers

  • Cancer Antibodies detect proteins linked to tumor aggressiveness and patient outcomes.

  • The Cancer Antibodies highlight markers such as Ki-67 for proliferation.

  • Antibodies support biomarker-driven risk stratification.

3) Immuno-Oncology

  • Cancer Antibodies identify immune checkpoint proteins, including PD-1 and PD-L1.

  • The Cancer Antibodies support evaluation of tumor–immune interactions.

  • Antibodies validate biomarkers that predict immunotherapy response.

4) Therapeutic Targeting

  • Cancer Antibodies detect HER2, EGFR, VEGF, and other therapeutic targets.

  • The Cancer Antibodies support monitoring of antibody-based cancer therapies.

  • Antibodies validate resistance pathways to targeted drugs.

5) Tumor Microenvironment

  • Cancer Antibodies highlight stromal and vascular markers.

  • The Cancer Antibodies clarify how the microenvironment supports tumor growth.

  • Antibodies provide translational tools for microenvironment-focused therapies.

6) Translational and Clinical Research

  • Cancer Antibodies are integrated into biomarker-driven clinical studies.

  • The Cancer Antibodies support precision medicine approaches.

  • Antibodies provide reproducibility across discovery, preclinical, and diagnostic settings.


Why Are Cancer Antibodies Important?

Cancer is one of the most complex diseases, and antibodies are indispensable for unraveling its biology. The Cancer Antibodies portfolio equips researchers with validated tools to study tumor markers, immune checkpoints, and therapeutic targets.

In oncology research, Cancer Antibodies support diagnosis, prognosis, and therapy development. In immuno-oncology, they clarify checkpoint pathways and immune evasion. In translational research, Cancer Antibodies help connect laboratory discoveries with patient outcomes.

Clinically, cancer biomarkers drive diagnostics, therapy monitoring, and precision medicine. Reliable Cancer Antibodies ensure reproducibility and confidence, making them central to bridging basic science with clinical oncology.


Conclusion

Cancer research demands reliable tools for biomarker discovery, diagnostic accuracy, and therapy development. The Cancer Antibodies collection provides validated reagents for oncology, immunology, and translational medicine. By ensuring specificity, reproducibility, and assay versatility, these antibodies remain essential for advancing cancer biology and improving patient care.

 
<p>Western blot testing of human HeLa cell lysate with recombinant <a href="../tds/recombinant-p53-antibody-rabbit-monoclonal-tp532092r-v3646" target="_blank" rel="noopener">p53 antibody</a> (clone TP53/2092R).</p>

Western blot testing of human HeLa cell lysate with recombinant p53 antibody (clone TP53/2092R).

Found all antibodies, displaying 5731 to 5740
MMP2 Antibody (clone MMP2/4586)
Catalog No : V4431
Applications : IHC-P
Reactivity : Human
Format : Purified
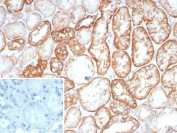
Cadherin 16 Antibody (clone CDH16/2449)
Catalog No : V4432
Applications : IHC-P, WB
Reactivity : Human
Format : Purified
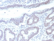
CDH1 Antibody / E-Cadherin (clone rCDH1/7352)
Catalog No : V4435
Applications : IHC-P, WB
Reactivity : Human
Format : Purified
Recmousemono
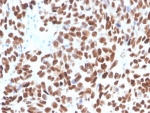
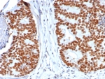
p53 Antibody / TP53 (clone rTP53/3889)
Catalog No : V4439
Applications : IHC-P
Reactivity : Human
Format : Purified
Recmousemono
p53 Antibody / TP53 (clone rTP53/8579)
Catalog No : V4440
Applications : IHC-P
Reactivity : Human
Format : Purified
Recmousemono
p53 Antibody / TP53 (clone rTP53/8063)
Catalog No : V4455
Applications : IHC-P
Reactivity : Human
Format : Purified
Recmousemono
p53 Antibody / TP53 (clone rTP53/8993)
Catalog No : V4456
Applications : IHC-P
Reactivity : Human
Format : Purified
Recmousemono
p53 Antibody / TP53 (clone TP53/3890R)
Catalog No : V4457
Applications : FACS, IHC-P
Reactivity : Human
Format : Purified
Recrabbitmono
HER2 Antibody / ErbB2 / Extracellular region (clone ERBB2/6637)
Catalog No : V4468
Applications : IHC-P
Reactivity : Human
Format : Purified
HER2 Antibody / ErbB2 (clone ERBB2/8142R)
Catalog No : V4469
Applications : FACS, IF, IHC-P
Reactivity : Human
Format : Purified
Recrabbitmono