• Tel: 858.663.9055
  • separatorEmail: info@nsjbio.com
  • Tel: 858.663.9055
  • Email: info@nsjbio.com
banner

Microbiology Antibody / Microbiology Antibodies

Home >> Antibodies >> Microbiology Antibody / Microbiology Antibodies

Microbiology Antibody / Microbiology Antibodies

Microbiology Antibody Overview

Microbiology Antibody detects proteins associated with microorganisms and host–pathogen interactions. Microbiology encompasses the study of bacteria, viruses, fungi, and parasites, each presenting unique molecular targets. From bacterial toxins and surface receptors to viral capsid proteins and fungal cell wall components, Microbiology Antibodies provide essential reagents for identifying microbial proteins and for monitoring immune responses during infection.

Examples of key targets include bacterial lipopolysaccharide-binding proteins, viral proteins such as HIV p24 and influenza hemagglutinin, fungal β-glucans, and protozoan antigens like Plasmodium lactate dehydrogenase. The Microbiology Antibody is widely applied in diagnostics, vaccine development, drug discovery, and fundamental studies of host–microbe biology. Because infectious diseases remain a global health challenge, Microbiology Antibodies are indispensable across immunology, virology, microbiology, and translational medicine.


Why Choose Microbiology Antibodies from NSJ Bioreagents?

NSJ Bioreagents offers Microbiology Antibodies validated for immunohistochemistry, ELISA, western blotting, immunofluorescence, and flow cytometry. Each Microbiology Antibody undergoes rigorous quality control to ensure specificity to microbial antigens and minimal cross-reactivity with host proteins.

By choosing a Microbiology Antibody from NSJ Bioreagents, researchers gain reagents optimized for reproducibility and clarity. Our antibodies deliver sharp detection in diagnostic assays, reliable results in research workflows, and compatibility with high-throughput screens. With extensive technical documentation, recommended positive controls, and optimized protocols, NSJ Bioreagents ensures that Microbiology Antibodies provide dependable performance across laboratory and translational applications.


Applications of Microbiology Antibodies

The Microbiology Antibody supports a broad range of experimental and diagnostic uses, reflecting the diversity of microorganisms and their impact on human health.

1) Bacteriology

  • Microbiology Antibodies detect bacterial surface proteins and toxins such as exotoxins and adhesins.

  • The Microbiology Antibody is applied in studies of antibiotic resistance mechanisms.

  • Researchers use Microbiology Antibodies to monitor bacterial colonization and immune responses.

2) Virology

  • The Microbiology Antibody supports detection of viral capsid and envelope proteins, including influenza hemagglutinin and HIV gp120.

  • Microbiology Antibodies are used to validate vaccines by measuring antibody responses against viral antigens.

  • The Microbiology Antibody is applied in antiviral drug discovery to track viral protein expression.

3) Mycology (Fungal Research)

  • Microbiology Antibodies detect fungal cell wall components such as β-glucans and mannoproteins.

  • The Microbiology Antibody is used in invasive fungal infection diagnostics.

  • Microbiology Antibodies help characterize host–fungal interactions in immunocompromised models.

4) Parasitology

  • Microbiology Antibodies are applied to protozoan antigens such as Plasmodium proteins in malaria research.

  • The Microbiology Antibody supports studies of host immune responses to helminths and protozoa.

  • Microbiology Antibodies are used in diagnostics for neglected tropical diseases.

5) Immunology and Host Defense

  • The Microbiology Antibody detects host proteins that interact with microbial antigens, clarifying immune recognition.

  • Microbiology Antibodies support vaccine trials by serving as reagents for immune monitoring assays.

  • The Microbiology Antibody is applied to analyze pathogen-induced cytokine responses.

6) Public Health and Clinical Diagnostics

  • Microbiology Antibodies are widely used in diagnostic ELISA kits for infectious diseases.

  • The Microbiology Antibody provides rapid, sensitive detection of pathogens in clinical samples.

  • Microbiology Antibodies are used to confirm eradication or reinfection in treatment monitoring.

7) Translational Research and Drug Discovery

  • The Microbiology Antibody validates new antimicrobial therapies by measuring drug effects on microbial proteins.

  • Microbiology Antibodies support biomarker discovery for infection severity and treatment outcomes.

  • The Microbiology Antibody is used in high-throughput assays for vaccine and drug development pipelines.


Why Are Microbiology Antibodies Important?

Microorganisms shape human health through infection, immunity, and microbiome interactions. The Microbiology Antibody provides the precision needed to detect microbial proteins and monitor host–pathogen interplay, while Microbiology Antibodies more broadly support diagnostic and therapeutic advances.

In basic microbiology, these antibodies reveal molecular details of bacterial, viral, fungal, and parasitic biology. In infectious disease research, the Microbiology Antibody supports identification of virulence factors and immune targets. In public health, Microbiology Antibodies enable diagnostic tests critical for outbreak management.

Clinically, antibody-based diagnostics remain central for infections such as HIV, hepatitis, malaria, and tuberculosis. The Microbiology Antibody links laboratory discovery with applied healthcare solutions by serving as a reliable, versatile tool.


Conclusion

Microorganisms present both challenges and opportunities for medicine. The Microbiology Antibody equips researchers and clinicians with tools to detect microbial proteins, while Microbiology Antibodies more broadly advance research in bacteriology, virology, mycology, parasitology, and immunology. By connecting molecular microbiology with diagnostics and therapeutics, these antibodies remain indispensable for global health research and clinical innovation.



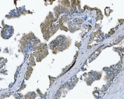
<p>IHC staining of human cervix tissue with <a href="../tds/l1-antibody-camvir-1-v3062" target="_blank" rel="noopener">HPV-16 antibody</a> (clone CamVir-1).</p>

IHC staining of human cervix tissue with HPV-16 antibody (clone CamVir-1).

Found all antibodies, displaying 181 to 190
Poliovirus Receptor Antibody / PVR
Catalog No : RQ6336
Applications : WB, IHC-P, IF, FACS, Direct ELISA
Reactivity : Human
Format : Purified
SAMHD1 Antibody (clone 10H8)
Catalog No : RQ6352
Applications : WB, IHC-P, IF, FACS
Reactivity : Human
Format : Purified
SAMHD1 Antibody (clone 3B9)
Catalog No : RQ6377
Applications : WB, IHC-P, IF, FACS
Reactivity : Human
Format : Purified
Poliovirus receptor Antibody / Pvr
Catalog No : RQ6385
Applications : WB, Direct ELISA
Reactivity : Mouse, Rat
Format : Purified
Milk fat globule Antibody / Mfg-e8 / Lactadherin
Catalog No : RQ6427
Applications : WB, IHC-P, FACS, Direct ELISA
Reactivity : Mouse, Rat
Format : Purified
Helicobacter pylori Antibody (clone HP/1334)
Catalog No : V8786
Applications : ELISA
Reactivity : Helicobacter pylori
Format : Purified
Helicobacter pylori Antibody (clone HP/1336)
Catalog No : V8827
Applications : ELISA
Reactivity : Helicobacter pylori
Format : Purified
HPV-16 E2 Antibody (clone TVG 261)
Catalog No : V8839
Applications : WB
Reactivity : Type 16 of Human Papilloma Virus (HPV-16)
Format : Purified
HSV1 Antibody / Herpes Simplex Virus Type I (clone HSV1/4055R)
Catalog No : V8925
Applications : IHC-P
Reactivity : HSV1 (Herpes Simplex Virus 1)
Format : Purified
Recrabbitmono
LPLUNC1 Antibody / BPIFB1 (clone LPLUNC1/3206)
Catalog No : V9138
Applications : ELISA, WB, IHC-P
Reactivity : Human
Format : Purified