• Tel: 858.663.9055
  • separatorEmail: info@nsjbio.com
  • Tel: 858.663.9055
  • Email: info@nsjbio.com
banner

Recombinant Antibody / Antibodies

Home >> Antibodies >> Recombinant Antibody / Antibodies

Recombinant Antibody / Antibodies

In the constantly evolving world of biotechnology, recombinant antibodies are emerging as game-changers in the field of diagnostics and research. These recombinant monoclonal antibodies can be quickly expressed, allowing for greater lot-to-lot consistency and reliability in a range of applications, including immunohistochemistry, western blot, immunofluorescence and flow cytometry.

One of the key advantages of recombinant antibodies is their high degree of lot-to-lot consistency. Traditional polyclonal antibodies, derived from the immune response of animals, can vary in quality from batch to batch. In contrast, recombinant antibodies are produced in a controlled laboratory environment, ensuring uniformity and reliability in their performance.

This consistency is particularly crucial in techniques like immunohistochemistry, where accurate and reproducible results are essential for diagnosing diseases and studying cellular processes. Recombinant antibodies provide researchers with a reliable tool for precisely identifying specific proteins within tissues, leading to more accurate diagnoses and research findings.

In western blot testing, recombinant antibodies also offer significant advantages. Their consistent performance allows for the detection of target proteins with high sensitivity and specificity, making them valuable tools for studying protein expression and interactions. Researchers can trust that recombinant antibodies will provide reliable and reproducible results.

Overall, the use of recombinant antibodies is revolutionizing testing techniques in the field of biotechnology. Their reliability and consistency make them invaluable tools for a wide range of applications, from basic research to clinical diagnostics. As technology advances and our understanding of disease mechanisms grows, recombinant antibodies will continue to play a crucial role in advancing scientific knowledge and, in turn, improving healthcare outcomes. 

NSJ Bioreagents is an industry leader in the field of mouse and rabbit origin recombinant antibodies and a go-to source for researchers seeking reliable reagents for their experiments. We offer a rapidly expanding line of recombinant antibodies:
Found all antibodies, displaying 601 to 610
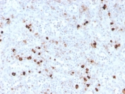
KRT8 Antibody / Cytokeratin 8 (clone KRT8/4067R)
Catalog No : V8028
Applications : IHC-P
Reactivity : Human
Format : Purified
Recrabbitmono
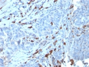
CD137 Antibody / 4-1BB / TNFRSF9 (clone 4-1BB/4552R)
Catalog No : V8061
Applications : IHC-P, WB
Reactivity : Human
Format : Purified
Recrabbitmono
PD-L1 Antibody / B7-H1 / CD274 (clone PDL1/4451R)
Catalog No : V8067
Applications : IHC-P
Reactivity : Human
Format : Purified
Recrabbitmono
AMACR / p504S Antibody (Prostate Cancer Marker) (clone AMACR/4572R)
Catalog No : V8118
Applications : IHC-P, WB
Reactivity : Human
Format : Purified
Recrabbitmono
dsDNA Antibody / Double Stranded DNA (clone DSD/4054R)
Catalog No : V8122
Applications : IHC-P
Reactivity : Human
Format : Purified
Recrabbitmono
IgM Heavy Chain Antibody (clone rIGHM/3802)
Catalog No : V8005
Applications : IHC-P
Reactivity : Human
Format : Purified
Recmousemono
IgM Heavy Chain Antibody (clone rIGHM/1623)
Catalog No : V8006
Applications : IHC-P
Reactivity : Human
Format : Purified
Recmousemono
IgM Heavy Chain Antibody (clone IGHM/3135R)
Catalog No : V8047
Applications : IHC-P
Reactivity : Human
Format : Purified
Recrabbitmono
IgM Heavy Chain Antibody (clone IGHM/3776R)
Catalog No : V8051
Applications : IHC-P
Reactivity : Human
Format : Purified
Recrabbitmono
IgM Heavy Chain Antibody (clone IGHM/3803R)
Catalog No : V8052
Applications : IHC-P
Reactivity : Human
Format : Purified
Recrabbitmono