• Tel: 858.663.9055
  • SeparatorEmail: info@nsjbio.com
  • Tel: 858.663.9055
  • Email: info@nsjbio.com
Home >> Antibodies >> Neurofilament Heavy Antibody

Neurofilament Heavy Antibody [clone RT97] (V2213)

  Catalog No Formulation Size Price (USD)  
Image V2213-100UG 0.2 mg/ml in 1X PBS with 0.1 mg/ml BSA (US sourced) and 0.05% sodium azide 100 ug 539
Image
V2213-20UG 0.2 mg/ml in 1X PBS with 0.1 mg/ml BSA (US sourced) and 0.05% sodium azide 20 ug 249
Image
V2213SAF-100UG 1 mg/ml in 1X PBS; BSA free, sodium azide free 100 ug 539
Image
V2213IHC-7ML Prediluted in 1X PBS with 0.1 mg/ml BSA (US sourced) and 0.05% sodium azide; *For IHC use only* 7 ml 539
Bulk quote request
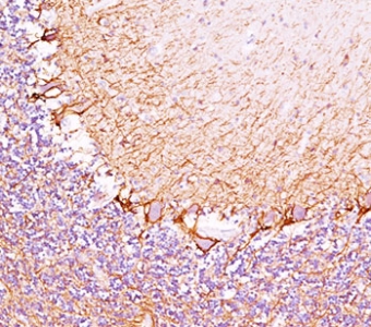
IHC testing of cerebellum stained with Neurofilament Heavy antibody (RT97).
Western blot testing of human brain lysate with Neurofilament Heavy antibody (clone RT97).
Species Reactivity Human, Mouse, Rat
Format Purified
Clonality Monoclonal (mouse origin)
Isotype Mouse IgG1, kappa
Clone Name RT97
Purity Protein G affinity chromatography
Buffer 1X PBS, pH 7.4
Gene ID 4744
Localization Cytoplasmic, membranous
Applications Western Blot : 1-2ug/ml
Immunohistochemistry (FFPE) : 0.25-0.5ug/ml for 30 min at RT
Limitations This Neurofilament Heavy antibody is available for research use only.
Review this product on BioCompare and get a $20 Amazon gift card

Related Products

Description

Neurofilament Heavy antibody clone RT97 is a monoclonal antibody directed against the heavy chain of neurofilaments, a major structural component of the neuronal cytoskeleton. Neurofilament heavy (NF-H) belongs to the neurofilament triplet proteins, which also include medium and light subunits. NF-H is heavily phosphorylated, and its phosphorylation status influences axonal caliber, stability, and conduction velocity. Because neurofilaments are essential for axonal architecture and transport, detection of NF-H is a cornerstone of neuroscience research. NSJ Bioreagents provides Neurofilament Heavy antibody clone RT97 for studies of axonal structure, neurodegeneration, and neuropathology.

Neurofilament Heavy antibody clone RT97 produces strong axonal staining in neuronal tissue, reflecting its recognition of phosphorylated epitopes in NF-H. It has been widely used to map axonal pathways in both central and peripheral nervous systems. In developmental neuroscience, this antibody helps track axonal outgrowth and maturation, providing a clear visualization of neuronal networks during differentiation.

In disease research, Neurofilament Heavy antibody clone RT97 is applied to studies of neurodegenerative disorders such as Alzheimer disease, amyotrophic lateral sclerosis, and Parkinson disease. Elevated levels of NF-H in cerebrospinal fluid and blood have been identified as biomarkers of axonal damage, and clone RT97 has been used to validate these findings by detecting axonal pathology in tissue samples. Its ability to reveal axonal swellings and degenerative changes makes it a powerful diagnostic and research tool.

In experimental models of injury, clone RT97 is employed to assess axonal damage following trauma or ischemia. It has been used to document axonal degeneration in spinal cord injury and stroke, where NF-H accumulation provides evidence of disrupted axonal transport and cytoskeletal breakdown.

Neurofilament Heavy antibody clone RT97 has also contributed to studies of axonal regeneration. By mapping NF-H distribution, researchers can monitor axonal repair and reorganization after injury, supporting the development of therapeutic approaches in regenerative medicine.

This antibody has been validated for tissue and cell based studies, producing reproducible axonal staining patterns. It is cited extensively in neuroscience literature, reflecting decades of use in both fundamental and translational research. Alternate names include NF-H antibody, phosphorylated neurofilament heavy chain antibody, and axonal cytoskeleton marker antibody.

Application Notes

The concentration stated for each application is a general starting point. Variations in protocols, secondaries and substrates may require the antibody to be titered up or down for optimal performance.

1. Staining of formalin-fixed tissues requires boiling tissue sections in 10mM citrate buffer, pH 6.0, for 10-20 min followed by cooling at RT for 20 minutes.
2. The prediluted format is supplied in a dropper bottle and is optimized for use in IHC. After epitope retrieval step (if required), drip mAb solution onto the tissue section and incubate at RT for 30 min.

Immunogen

The triton-X 100 insoluble protein fraction of rat brain was used as the immunogen for this Neurofilament Heavy antibody.

Storage

Store the Neurofilament Heavy antibody at 2-8oC (with azide) or aliquot and store at -20oC or colder (without azide).

Cross
Bulk Quote Request Form
Name*:
Organization*:
Email*:
Phone Number*:
Catalog No.*:
Comments and Specifics(amount, formulation, etc.)*:
Validation code: Captchapackage Image


Can't read the image? click here to refresh.
    *required field

Your bulk quote request has been submitted successfully!

Please contact us if you have any questions.