• Tel: 858.663.9055
  • SeparatorEmail: info@nsjbio.com
  • Tel: 858.663.9055
  • Email: info@nsjbio.com
Home >> Antibodies >> Angiostatin K1-3 Antibody

Angiostatin K1-3 Antibody (R30129)

  Catalog No Formulation Size Price (USD)  
Image R30129 0.5mg/ml if reconstituted with 0.2ml sterile DI water 100 ug 439
Bulk quote request
Western blot testing of human 1) SMMC-7721 and 2) HepG2 cell lysate with Angiostatin K1-3 antibody. Expected molecular weight of Plasminogen: 90-95 kDa.
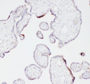
IHC staining of FFPE human placenta with Angiostatin K1-3 antibody. HIER: boil tissue sections in pH6, 10mM citrate buffer, for 20 min and allow to cool before testing.
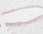
IHC staining of FFPE human breast cancer with Angiostatin K1-3 antibody. HIER: boil tissue sections in pH6, 10mM citrate buffer, for 20 min and allow to cool before testing.
Availability 1-3 business days
Species Reactivity Human
Format Antigen affinity purified
Clonality Polyclonal (rabbit origin)
Isotype Rabbit IgG
Purity Antigen affinity
Buffer Lyophilized from 1X PBS with 0.025% sodium azide
UniProt P00747
Applications Western Blot : 0.5-1ug/ml
IHC (FFPE) : 0.5-1ug/ml
ELISA : 0.1-0.5ug/ml (human protein tested)
Limitations This Angiostatin K1-3 antibody is available for research use only.
Review this product on BioCompare and get a $20 Amazon gift card

Description

Ang K1-3 is a proteolytic fragment of Plasminogen. It is a single, non-glycosylated polypeptide chain containing 259 amino acids. It represents a proteolytic fragment of plasminogen containing the first three kringle structures. Ang K1-3 reduces endothelial cell proliferation and acts as a potent inhibitor of angiogenesis and tumor growth. It displays increased inhibitory activity (ED50=70nM) relative to kringles 1-4 (ED50 = 135nM).

Application Notes

The stated application concentrations are suggested starting amounts. Titration of the Angiostatin K1-3 antibody may be required due to differences in protocols and secondary/substrate sensitivity.

Immunogen

Human partial recombinant protein (AA 103-352) was used as the immunogen for this Angiostatin K1-3 antibody.

Storage

After reconstitution, the Angiostatin K1-3 antibody can be stored for up to one month at 4oC. For long-term, aliquot and store at -20oC. Avoid repeated freezing and thawing.

Cross
Bulk Quote Request Form
Name*:
Organization*:
Email*:
Phone Number*:
Catalog No.*:
Comments and Specifics(amount, formulation, etc.)*:
Validation code: Captchapackage Image


Can't read the image? click here to refresh.
    *required field

Your bulk quote request has been submitted successfully!

Please contact us if you have any questions.